평일 야간진료
OK
발목 염좌, 발목 불안정증, 족저근막염, 아킬레스건염, 발목관절염 등
발과 발목 통증질환들도 의학·한의학의 통합적 치료로 호전됩니다.
발목 염좌 · 불안정증
발목을 삐끗하는 염좌로 인한 인대 손상으로 통증, 부종,
보행장애 발생
발목염좌 후 인대가 늘어지면서 발목 불안정증으로 자주
접지르게 되고 연골 손상의 발목 관절염으로 악화됩니다.
족저근막염
발바닥 근막의 손상으로 특히 아침에 첫발을 디딜 때 심한 통증,
주로 발바닥과 뒤꿈치 통증 발생
과체중, 딱딱한 바닥의 신발 착용, 평발이나 요족 같은 구조적
문제 등에 의해 발생
아킬레스건염
발뒤꿈치 위쪽 힘줄(아킬레스건)의 염증으로 통증과 붓기 발생
과격한 운동, 과도한 달리기 등에 의해 발생
발목관절염
노화, 과도한 체중 부하, 외상, 만성 발목불안정증 등에 의해 발목관절의 연골이 손상되면서 관절염 진행
지속적 통증과 보행장애, 무릎 · 골반 · 척추 등에 연쇄적 악영향

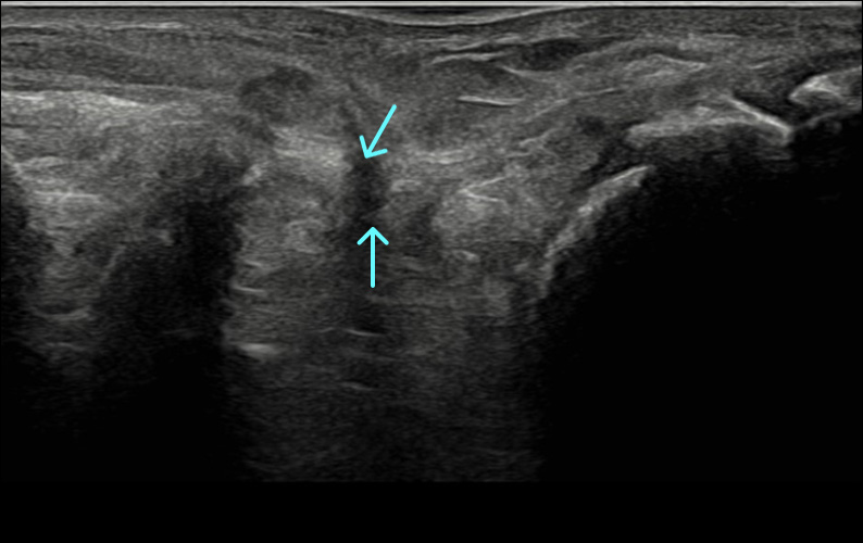
발목을 삐끗하면서 심한 통증으로 내원한 60대 환자.
엑스레이 영상에서 골절 소견은 없으나 초음파검사에서
인대 부분 파열 진단돼 하이펑쳐 주사 치료
발과 발목 관절을 구성하는 인대, 근육, 족저근막, 힘줄,
뼈 등 세부 조직의 염증, 손상의 정도와 유발 요인에 대한
의학과 한의학의 통합적 진단 하에 맞춤치료
요추질환의 방사통에 의한 발 저림,
감각이상도 의학 · 한의학의 통합적 치료
혈액순환장애나 과체중, 체형 불균형에 의한
발 통증도 근본적 치료 도모
일시적 통증 완화 효과에 머무는 약물이나 주사는
재발률이 높고 반복 시행시 병변의 악화,
부작용 위험이 있어 주의!
출처 | 만성 족관절 염좌에 자하거 약침을 병행한 한방 치료로 호전된 2례 보고
출처 | 족저근막염 통증에 침술 치료 4~8주 후 유의미한 통증 감소 확인 논문
하이펑쳐 주사
조직재생 유도 물질로 잘 알려진 PDRN과
자하거(태반)를 환자별 맞춤 배합하여 초음파를 보며
발·발목 통증 병변에 주입
약침 / 한약
세포 재생, 항염증, 통증 개선 등의 효과가 우수한 한약재에서
추출한 약물을 통증 병변에 주입
어혈, 혈류장애, 통증 및 저림증 개선, 항염증, 근육 긴장 완화 등의
효과별 한약재들을 개인별 맞춤 처방
추나치료 / 도수치료
경험 많은 한의사가 수기로, 척추, 골반, 다리, 발에 이르기까지
연결부위의 교정, 근육·인대 이완, 기혈 순환, 통증 개선
도수치료 경험 많은 물리치료사가 수기나 도구를 이용해 척추에서
다리, 발까지 교정, 족부 통증 치료
도침 / 봉침 / 경혈침 치료
침끝이 칼날 같은 도침을 사용하여 심한 염증으로 유착된
조직을 박리하고 심부 어혈 제거
기혈순환이 막힌 통증 부위를 경혈침으로 치료
항염증과 조직 재생을 위한 약침 및 봉침 치료
의학·한의학 물리치료
고주파, 체외충격파, 자기장, 전기침, 크라이오, 온열치료 등
각종 장비를 활용하여 혈류 및 근육 긴장 개선, 통증 완화,
신체 기능 회복 도모
부항, 뜸, 한방물리치료 등을 병행, 또는 선별 적용하여
통증 완화와 회복 도모